커뮤니티

COMMUNITY

공지사항

2025년 4월 24일 보수교육

페이지 정보

작성자 KNU관리자
댓글 0건 조회 1,854회 작성일 25-12-15 14:35

본문


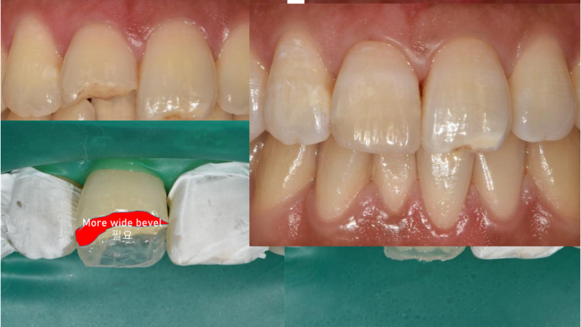
강의 

연자 진명욱 교수님 (경북대학교 치과대학 치과보존학)

연제 : 실패없는 복합 레진 수복을 위하여

8b6b7d11e9174eeb72e96c53d05f74a3_1765776776_1885.png
8b6b7d11e9174eeb72e96c53d05f74a3_1765776776_3013.png
8b6b7d11e9174eeb72e96c53d05f74a3_1765776776_3668.png
8b6b7d11e9174eeb72e96c53d05f74a3_1765776776_4176.png
8b6b7d11e9174eeb72e96c53d05f74a3_1765776776_4816.png
8b6b7d11e9174eeb72e96c53d05f74a3_1765776776_5445.png
8b6b7d11e9174eeb72e96c53d05f74a3_1765776776_616.png
8b6b7d11e9174eeb72e96c53d05f74a3_1765776776_7291.png
8b6b7d11e9174eeb72e96c53d05f74a3_1765776776_8573.png
8b6b7d11e9174eeb72e96c53d05f74a3_1765776791_0695.png
8b6b7d11e9174eeb72e96c53d05f74a3_1765776791_1394.png
8b6b7d11e9174eeb72e96c53d05f74a3_1765776791_2127.png
8b6b7d11e9174eeb72e96c53d05f74a3_1765776791_2914.png
8b6b7d11e9174eeb72e96c53d05f74a3_1765776791_3738.png
8b6b7d11e9174eeb72e96c53d05f74a3_1765776791_4341.png
8b6b7d11e9174eeb72e96c53d05f74a3_1765776791_4773.png
8b6b7d11e9174eeb72e96c53d05f74a3_1765776791_5169.png
8b6b7d11e9174eeb72e96c53d05f74a3_1765776791_5633.png
8b6b7d11e9174eeb72e96c53d05f74a3_1765776791_5983.png
8b6b7d11e9174eeb72e96c53d05f74a3_1765776810_8366.png
8b6b7d11e9174eeb72e96c53d05f74a3_1765776810_8976.png
8b6b7d11e9174eeb72e96c53d05f74a3_1765776810_9683.png
8b6b7d11e9174eeb72e96c53d05f74a3_1765776811_0378.png
8b6b7d11e9174eeb72e96c53d05f74a3_1765776811_1058.png
8b6b7d11e9174eeb72e96c53d05f74a3_1765776811_1516.png
8b6b7d11e9174eeb72e96c53d05f74a3_1765776811_1844.png
8b6b7d11e9174eeb72e96c53d05f74a3_1765776811_2581.png
8b6b7d11e9174eeb72e96c53d05f74a3_1765776811_321.png
8b6b7d11e9174eeb72e96c53d05f74a3_1765776811_3826.png
8b6b7d11e9174eeb72e96c53d05f74a3_1765776826_3187.png
8b6b7d11e9174eeb72e96c53d05f74a3_1765776826_3785.png
8b6b7d11e9174eeb72e96c53d05f74a3_1765776826_4167.png
8b6b7d11e9174eeb72e96c53d05f74a3_1765776826_4776.png
8b6b7d11e9174eeb72e96c53d05f74a3_1765776826_5545.png
8b6b7d11e9174eeb72e96c53d05f74a3_1765776826_6101.png
8b6b7d11e9174eeb72e96c53d05f74a3_1765776826_6753.png
8b6b7d11e9174eeb72e96c53d05f74a3_1765776826_7415.png
8b6b7d11e9174eeb72e96c53d05f74a3_1765776826_8166.png
8b6b7d11e9174eeb72e96c53d05f74a3_1765776826_8601.png
8b6b7d11e9174eeb72e96c53d05f74a3_1765776842_8975.png
8b6b7d11e9174eeb72e96c53d05f74a3_1765776842_9741.png
8b6b7d11e9174eeb72e96c53d05f74a3_1765776843_0547.png
8b6b7d11e9174eeb72e96c53d05f74a3_1765776843_1294.png
8b6b7d11e9174eeb72e96c53d05f74a3_1765776843_2065.png
8b6b7d11e9174eeb72e96c53d05f74a3_1765776843_2706.png
8b6b7d11e9174eeb72e96c53d05f74a3_1765776843_3327.png
8b6b7d11e9174eeb72e96c53d05f74a3_1765776843_3916.png
8b6b7d11e9174eeb72e96c53d05f74a3_1765776843_4324.png
8b6b7d11e9174eeb72e96c53d05f74a3_1765776843_4814.png
8b6b7d11e9174eeb72e96c53d05f74a3_1765776859_3993.png
8b6b7d11e9174eeb72e96c53d05f74a3_1765776859_4532.png
8b6b7d11e9174eeb72e96c53d05f74a3_1765776859_5302.png
8b6b7d11e9174eeb72e96c53d05f74a3_1765776859_6082.png
8b6b7d11e9174eeb72e96c53d05f74a3_1765776859_6852.png
8b6b7d11e9174eeb72e96c53d05f74a3_1765776859_7426.png
8b6b7d11e9174eeb72e96c53d05f74a3_1765776859_8382.png
8b6b7d11e9174eeb72e96c53d05f74a3_1765776859_9092.png
8b6b7d11e9174eeb72e96c53d05f74a3_1765776859_9837.png
8b6b7d11e9174eeb72e96c53d05f74a3_1765776860_0532.png
8b6b7d11e9174eeb72e96c53d05f74a3_1765776869_7087.png
8b6b7d11e9174eeb72e96c53d05f74a3_1765776869_7712.png
8b6b7d11e9174eeb72e96c53d05f74a3_1765776869_8193.png 


댓글목록

등록된 댓글이 없습니다.